» أخبار
صادق ربيع فقد نسبة من سمعه ويتبول دماً وشظايا « الشوزن » تهدد حياته
2012-09-25 - 8:14 ص
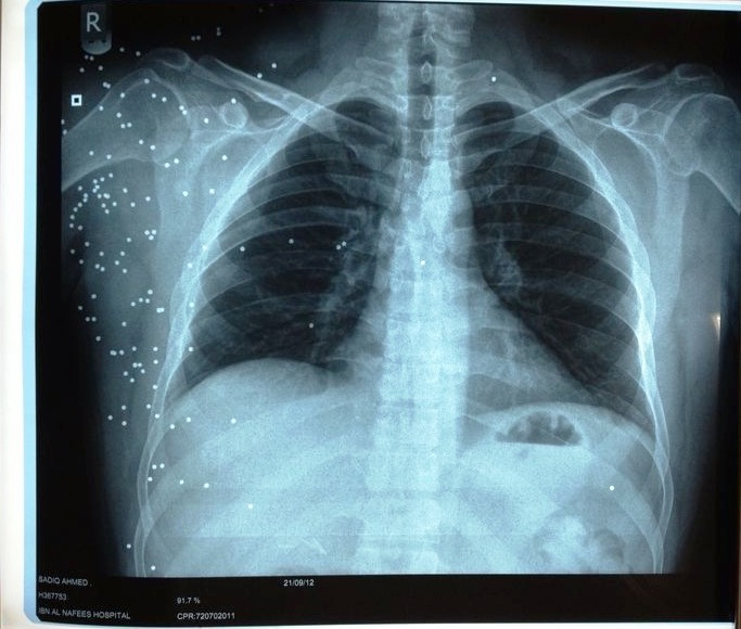
مرآة البحرين: أكدت «شبكة 14 فبراير الإعلامية» أن العضو البلدي الوفاقي السابق صادق ربيع، الذي أصيب برصاص «الشوزن» خلال قمع مسيرة سلمية في سترة منذ أسبوعين، فقد نسبة من سمعة من جراء الإصابة وما زالت شظايا "الشوزن" في جسده.
ونقلت الشبكة عن ربيع الموجود في مستشفى السلمانية قوله إنه أصبح يتبول دماً بعدما أدخل له أنبوب أثناء الاغماء تسبب له لجروح في المسالك البولية، مضيفا أنه بسبب تأخير العلاج فقد نسبة من سمعه وما زالت هناك شظيتان في رئته واربعةً أخرى في الكبد، والعشرات من الشظايا في جسده تهدد حياته.
اقرأ أيضا
- 2026-02-20ملك البحرين أحدث المنضمين لقائمة سخرية ترامب
- 2026-02-20حرية مشروطة للقيادي إبراهيم شريف وعقوبات بديلة تقيّد نشاطه الإعلامي
- 2026-02-16آية الله قاسم في الذكرى الـ15 لانطلاق الثورة: مستمرون في مسار الإصلاح والتراجع خيار الانكسار
- 2026-02-14الاتحاد العام لنقابات عمال البحرين يطالب بحوار وطني عاجل: لا حلول للأزمة المعيشية دون شراكة حقيقية مع ممثلي العمال
- 2026-02-12نواب بريطانيون يطالبون بعقوبات “ماغنيتسكي” على مسؤولين بحرينيين في الذكرى الـ15 لانتفاضة 14 فبراير